Risultati

Faccette Dentali

Le faccette dentali sono sottilissime lamine di ceramica (0,3-0,5mm) che vengono applicate in maniera permanente sulla superficie esterna dei denti per migliorare l’estetica del sorriso senza sacrificare dente sano.

Una volta cementate le faccette si integrano perfettamente con il dente garantendo un risultato estetico estremamente naturale.

Le faccette sono la soluzione ideale per la correzione dei principali difetti del sorriso.

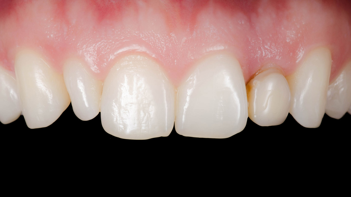
Caso 1

Faccette in ceramica integrale

Image
Prima

La paziente presentava importanti erosioni degli incisivi superiori che alteravano molto l’estetica del sorriso. Desiderava, inoltre, correggere l’inclinazione dei canini ma senza sottoporsi a terapia ortodontica.

Image
Dopo

Sono state eseguite sei faccette in ceramica integrale, con minima preparazione dentale, che hanno permesso di ricostituire l’integrità estetica e funzionale degli incisivi superiori. Le faccette sono perfettamente integrate nella bocca e del tutto indistinguibili dai denti naturali.

Image
Prima

Nonostante la giovane età, la paziente presentava importante usura e accorciamento degli incisivi superiori. L’usura dei margini incisali e l’andamento inverso rispetto a quello del labbro inferiore, sono tra i principali parametri estetici da correggere per riprisitinare un sorriso bello e naturale.

Image
Dopo

Le faccette in ceramica estetica permettono di ricostituire l’integrità e la corretta lunghezza dei denti erosi. Il nuovo andamento del bordo dei denti, convesso e parallelo al labbro inferiore, restituisce naturalezza ed estetica al sorriso della paziente.

Caso 2

Faccette in ceramica per riallineare i denti

Image
Prima

Il sorriso della paziente, sia in visione frontale che laterale, non appare gradevole a causa della presenza di un importante affollamento dentale.

Image
Dopo

Le faccette in ceramica permettono di simulare l’avanzamento degli incisivi laterali, chiudere lo spazio nero tra i due centrali e riallineare i denti forntali rendendo il sorriso più armonioso e bello.

Image
Prima

La paziente presenta dalla nascita un affollamento dentale mai trattato con terapia ortodontica. Richiede di migliorare il proprio sorriso senza l’uso di un apparecchio ortodontico.

Image
Dopo

Con la progettazione digitale del sorriso abbiamo ipotizzato di riallineare i denti applicando quattro faccette in ceramica integrale. Con la previsualizzazione estetica, “mock up”, il nuovo sorriso è stato provato direttamente in bocca ed è stato possibile verificare l’efficacia del trattamento proposto. In sole due sedute, senza la necessità di anestesia, le faccette sono state ultimate ed il sorriso è stato migliorato, con grande soddisfazione della paziente.

Caso 3

Faccette in ceramica integrale

Image
Prima

La paziente desiderava migliorare il proprio sorriso, raddrizzando i denti e chudendo gli spazi “diastemi” presenti. L’analisi del caso ha evidenziato che il solo trattamento ortodontico non avrebbe permesso di raggiungere un risultato estetico ideale, a causa delle forme alterate di tutti e quattro gli incisivi superiori, che apparivano piccoli e molto squadrati.

Image
Dopo

Con l’applicazione di quattro faccette in ceramica feldspatica è stato possibile riallineare i denti e chiudere i diastemi. Sono state inoltre studiate delle nuove forme per i denti della paziente, più armoniose e più naturali che, nell’insieme, migliorano l’estetica del sorriso.

Caso 4

Faccette in ceramica ad effetto anti-aging

Image
Prima

Il paziente non è soddisfatto del proprio sorriso perchè, nel tempo, i denti anteriori si sono consumati diventando poco visibili, irregolari e scuri. Ciò conferisce al sorriso un aspetto “invecchiato”.

Image
Dopo

Le faccette in ceramica vengono applicate sulla superficie anteriore dei denti e permettono di modificarne la forma e il colore oltre che di allungarli. La maggior visibilità dei denti superiori è uno dei parametri principali per ringiovanire un sorriso. Le modifiche della chiusura della bocca, ottenute con il trattamento anche dei denti posteriori, completano l’effetto anti-aging.

Caso 5

Correzione degli incisivi laterali conoidi con faccette in ceramica

Image
Prima

La paziente presenta un’alterazione congenita della forma degli incivi laterali, “conoidi”, che causa un inestetismo del sorriso. Le vecchie ricostruzioni ancora presenti sono ingiallite e irrregolari. Oltre alla forma anomala dei denti, anche la mancanza di simmetria tra le parabole gengivali peggiora il difetto estetico.

Image
Dopo

Con l’applicazione dei due faccette “no prep” in cermica vengono ricostruite le forme ideali dei due incisivi e viene corretta l’asimmetria gengivale. Le faccette sono perfettamente integrate con il resto della bocca, sia come colore sia come naturalezza e indistingubili dai denti naturali.

Caso 6

Faccette in ceramica

Image
Prima

I denti della paziente, oltre alla presenza di numerose vecchie ricostruzioni, presentavano delle colorazioni scure e brune. Inizialmente sono state sostituite le vecchie otturazioni ed è stato eseguito un trattamento sbiancante che però non ha potuto correggere i difetti di colore più gravi.

Image
Dopo

Sono state applicate tre faccette in ceramica integrale che hanno permesso di allineare i denti e correggere i difetti di colore. Le faccette risultano perfettamente integrate con il resto della dentatura e non sono distinguibili dai denti naturali.

Caso 7

Faccette in ceramica feldspatica

Image
Prima

La paziente desiderava migliorare il proprio sorriso chiudendo i buchi neri tra i denti anteriori e migliorando la forma e il colore dei denti, che presentavano vecchie otturazioni scurite, ma temeva di stravolgere il proprio sorriso non riconoscendosi più.

Image
Dopo

La paziente desiderava migliorare il proprio sorriso chiudendo i buchi neri tra i denti anteriori e migliorando la forma e il colore dei denti, che presentavano vecchie otturazioni scurite, ma temeva di stravolgere il proprio sorriso non riconoscendosi più.

Caso 8

Faccette in ceramica

Image
Prima

La paziente desiderava migliorare il proprio sorriso, risolvendo la mancanza di allineamento dei denti e chiudendo i piccoli spazi presenti. L’analisi del caso ha evidenziato che il solo trattamento ortodontico non avrebbe permesso di raggiungere un risultato estetico ideale, a causa delle forme alterate degli incisivi superiori.

Image
Dopo

Dopo aver eseguito lo sbiancamento di tutti i denti, sono state eseguite 6 faccette in ceramica integrale con minima preparazione dentale. Le faccette hanno permesso di riallineare i denti, chiudere gli spazi e allungare gli incisivi, rendendoli più visibili e ristabilendo un andamento parallelo al labbro inferiore, che è uno dei principali parametri estetici.

Caso 9

Faccette in ceramica

Image
Prima

[Descrizione]

Image
Dopo

[Descrizione]

Caso 10

Faccette in ceramica

Image
Prima

[Descrizione]

Image
Dopo

[Descrizione]

Dott Federica Nosenzo, Odontoiatra

Dott. Federica Nosenzo, Odontoiatra

Mi animano una passione profonda per il mio lavoro, la volontà di garantire la salute ai miei pazienti, e la gioia di un sorriso sano e sicuro.

INDIRIZZO & CONTATTI


ORARI DI APERTURA


  • Lunedì
  • Martedì
  • Mercoledì
  • Giovedì
  • Venerdì
  • Sabato
  • Domenica

Hai una domanda veloce…?

MODULO EMAIL

DOVE SIAMO