Usura Dentale
Usura dentale: che cos’è?
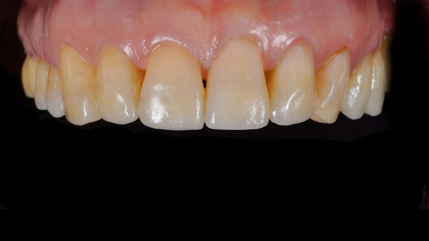
I denti consumati hanno subito un processo di deterioramento con perdita di una certa quantità di tessuto duro, sia esso smalto o dentina. Questa situazione spesso comporta inestetismi che possono causare ansia e imbarazzo alle persone, soprattutto in situazioni pubbliche. Ma non solo. Avere i denti consumati può essere anche un campanello d’allarme per alcune patologie da affrontare con tempestività.

Perché i denti si consumano?
I motivi dell’usura dentale possono essere vari, ed agire anche in combinazione tra loro. Differenti sono gli approcci terapeutici da mettere in atto per risolvere questo problema.
Erosione
Perdita di smalto e dentina causata dall’azione di tipo chimico di sostanze acide presenti nella bocca che aggrediscono i tessuti dentali. Questa condizione è tipica di persone che soffrono di vomito frequente (disturbi alimentari come anoressia e bulimia) per l’acido cloridrico che dallo stomaco passa in bocca, dei pazienti affetti da reflusso gastroesofageo o da altre patologie che causano la risalita e a volte il rigurgito di materiali acidi, e di chi abusa nel consumo di cibi o bevande acide (succo d’arancia, succhi di frutta, limone, bibite molto zuccherate, etc.).
Oltre agli acidi esitono anche processi di usura dentale dovuti a cause meccaniche. In questi casi si distinguono:
Abrasione
Perdita di sostanza dentale dovuta all’azione meccanica di materiali o sostanze sulla supeficie dei denti. È il caso di un eccessivo o errato spazzolamento o dell’uso di dentifrici abrasivi pubblicizzati per sbiancare i denti da soli.
Attrito
Perdita di sostanza dentale dovuta allo sfregamento dei denti tra loro. È il caso dei pazienti affetti da bruxismo che porta a digrignare i denti tra loro determinandone l’usura sia a livello delle superifici masticatorie sia a livello dei colletti dentali per le flessioni che il dente subisce durante il digrignamento (abfraction).
C’è comunque da dire che una certa usura dei denti è fisiologica ed è dovuta all’invecchiamento della persona.


Come si riconoscono i denti consumati
L’usura dentale ha come consueguenza più evidente un deterioramento dell’aspetto dei denti che compromette l’armonia del sorriso e generalmente determina un effetto di invecchiamento anche nei pazienti più giovani. Uno dei segni iniziali a cui prestare attenzione nei processi di usura è l’assottigliamento e la rottura dei margini dei denti davanti che diventano trasparenti, irregolari e sbeccati pure senza aver subito alcun trauma evidente. Con l’aggravarsi del processo i denti diventano più corti e tendono a diventare più gialli. I fenomeni di usura conivolgono non solo i denti anteriori ma spesso tutta la bocca. Oltre alle conseguenze estetiche l’usura dello smalto può causare un aumento della sensibilità dentale agli stimoli termici e dolore durante la masticazione, in quanto la polpa dentale è meno protetta.
Usura dentale: cosa fare?
È importante che la valutazione dei fenomeni di usura e delle terapie necessarie sia eseguita da un dentista professionista. I casi più semplici possono spesso venire risolti con semplici manovre di prevenzione e con una modifica delle abitudini viziate all’origine dell’usura (correzione della dieta, correzione delle tecniche di spazzolamento, etc.). Nei casi in cui la compromissione estetica e funzionale sia avanzata occorre effettuare un’attenta valutazione dell’intera bocca per individuare le terapie più indicate a ripristinare un sorriso armonico e la corretta funzione (ricostruzioni estetiche in composito o ceramica, intarsi e faccette dentali).

Come ripristinare il sorriso quando i denti davanti sono consumati
È importante sapere che nei casi pià gravi di usura dentale non è possibile riabilitare il sorriso intervenendo solo sui denti davanti. L’accorciamento dei denti anteriori infatti è spesso diretta conseguenza dell’usura dei denti posteriori che, consumandosi, determinano una maggior chiusura della bocca (da cui l’effetto di invecchiamento o di “bocca a paperino” anche in pazienti di giovane età) e un conseguente sovraccarico dei denti anteriori che progressivamente si deteriorano. In questi casi, affinchè il risultato estetico sia soddisfacente e duraturo nel tempo, è necessario procedere alla ricostruzione prima dei denti posteriori consumati che permetterà di recuperare la perdita di dimensione dovuta all’usura e di ricreare lo spazio necessario per la successiva ricostruzione dei denti anteriori.
Le terapie: le moderne riabilitazioni adesive vs l’odontoiatria classica
Fino a pochi anni fa per ricostruire un dente particolarmente consumato era indispensabile ricorrere all’uso di corone protesiche, “incapsulando” il dente. Le corone in ceramica tradizionale venivano applicate dopo aver limato e ridotto a moncone il dente, con importante sacrificio del tessuto dentale residuo. Molto spesso si rendeva necessaria anche la devitalizzazione dell’elemento.
Negli ultimi anni, lo sviluppo di nuovi materiali ceramici (disilicato di litio) altamente resistenti anche a minimi spessori, oltre che altamente estetici, e di tecniche di adesione, con cui i materiali vengono incollati ai denti, ha permesso di rivoluzionare le procedure di restauro degli elementi compromessi.
Con questi materiali è possibile costruire delle corone e degli intarsi di spessori sottilissimi che incollati in maniera permanente al dente consumanto ne ripristinino l’integrità senza che sia necessario effettuare alcuna preparazione. In questo modo la parte del dente consumata viene restaurata senza nessun ulteriore sacrificio di tessuto dentale e senza la necessità di devitalizzare i denti.
Questo approccio terapeutico prende il nome di Odontoiatria minimamente invasiva e rappresenta il principio che guida nel nostro studio tutte le scelte terapeutiche: dalla riparazione del dente singolo alla riabilitazione dell’intera bocca.
Riabilitazione adesiva non invasiva dell’intera bocca
Ispirate ai principi di odontoiatria minimante invasiva sono state proposte negli ultimi anni tecniche per la riabilitazione, sia estetica sia funzionale, dell’intera bocca nei casi di usure dentali estese (3-Step Technique®), che permettono in poche sedute di riabilitare in maniera semplice e conservativa l’intera bocca, senza sacrificare i denti residui e con ottimi risultati estetici ma anche di contenimento dei costi rispetto alle riabilitazioni protesiche tradizionali.
I denti non vengono devitalizzati e limati per essere ricoperti con delle corone (capsule), ma sono trattati diversamente: dopo un’attenta valutazione si ricostruiscono solo le parti di smalto e dentina andate perse negli anni. Il restauro della parte mancante verrà cementato adesivamente al dente, ripristinando la forma corretta e riabilitandone la funzione.